жевательную резинку сахара
Реминерализация зубов: Верните улыбке блеск и здоровье! Здоровые зубы – это не только красивая улыбка‚ но и залог нашего общего благополучия.
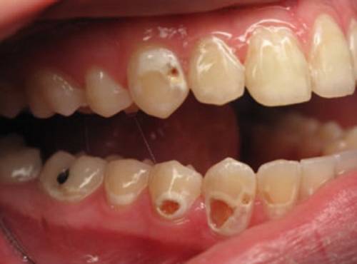
Кислотный удар по улыбке: Как защитить зубы от эрозии и сохранить здоровье на долгие годы Приветствуем вас, дорогие читатели! Сегодня мы поговорим о теме


